A pair of dismembered legs uncovered in an Egyptian tomb are finally giving up their secrets.
First found during excavations in the Valley of Queens more than a century ago, the mummified limbs have lain in a museum in Turin ever since.
Now, archaeologists analysing the 3,000-year-old remains believe they could belong to Queen Nefertari, a royal wife of Pharaoh Ramesses the Great...
Are these the legs of Queen Nefertari? Mystery mummified limbs may belong to the the wife of Ramesses the Great
The legs were found in Queen Nefertari's plundered tomb in 1904
Belong to a middle-aged woman who was 5 feet 5 inches (165 cm) tall
They lay in an Italian museum but their identity has never been confirmed
Queen Nefertari was the favoured wife of powerful ruler Ramesses II
She was an important figure in the 13th century BC, gave birth to four sons and played a key role in the dynasty's foreign affairs
By Ryan O'Hare for MailOnline
2 December 2016
A pair of dismembered legs uncovered in an Egyptian tomb are finally giving up their secrets.
First found during excavations in the Valley of Queens more than a century ago, the mummified limbs have lain in a museum in Turin ever since.
Now, archaeologists analysing the 3,000-year-old remains believe they could belong to Queen Nefertari, a royal wife of Pharaoh Ramesses the Great.
Archaeologists believe the 3,000-year-old mumified legs in an Italian museum (pictured) belong to Queen Nefertari, the favoured royal wife of powerful Pharaoh Ramesses the Great
In 1904, Italian archaeologists excavated the tomb of Queen Nefertari – thought to be the favourite wife of Ramesses II, the empire’s most powerful pharaoh – finding only remains left by looters.
Among the ruins of the plundered tomb, they recovered three sections of mummified legs which were thought to belong to Nerfertari.
But new analysis carried out by an international team, including researchers from the University of York, has used modern scientific techniques to confirm the identity of the legs.
The researchers found the legs belong to a middle-aged to older woman who was around 5 feet 5 inches tall and may have had arthritis.
They believe the person was between 40 and 60 when they died - the same age range as Nefertari.
The height is also consistent with the size of ancient sandals found in the tomb, thought to belong to Nefertari.
Writing in a paper published this week in the online journal PLOS One, they say: ‘the most likely scenario is that the mummified knees truly belong to Queen Nefertari’.
New analysis carried out on the remains by an international team, including researchers from the University of York, has used modern scientific techniques reveal the remains most likely belong to the beloved queen
Using chemical analysis, radiocarbon dating and DNA analysis, they conclude that the legs most likely belong to a woman who died at 40 years of age
Experts say that analysis of the ancient leg fragments reveals a woman above average height, most likely 165 cm (5 ft 5 in) tall, equal in height to most Egyptian and Greek men of the time
Using chemical analysis, radiocarbon dating and DNA analysis, they conclude that the legs most likely belong to a woman who died at around 40 years of age.
What’s more, they found that the balm used in the mummification process was consistent with that used during the reign of Ramesses.
Taken together, the evidence suggests the legs belong to Nefertari herself, rather than her daughters, who were buried in the tomb.
Historians hold Nefertari as the favourite wife of Ramses II, who lavished her with a beautifully ornate tomb in the Valley of Queens after her death.
Archaeologists believe she played an important role in foreign affairs of Ramses the great who lived from 1303 to 1213 BC.
While her ancestry is unknown, she is believed to have given birth to four sons and died some time after the age of 40.
The analysis of the mummified legs reveals a woman above average height, most likely 5 ft 5 in tall, equal in height to most Egyptian and Greek men of the time.
The researchers explain: ‘The materials used for embalming are consistent with Ramesside mummification traditions and indeed all objects within the tomb robustly support the burial as of Queen Nefertari.’
In 1904, Italian archaeologists excavated Nefertari's tomb in the Valley of the Queens – thought to be the favourite wife of Ramesses II, the empire’s most powerful pharaoh – finding only remains left by looters
Dr Stephen Buckley and Professor Joann Fletcher from the University of York’s Department of Archaeology were instrumental in the chemical analysis of the remains.
'We are reasonably confident given all the evidence,' Dr Buckley told MailOnline.
'Although a later intrusive burial was a serious consideration before our study, the radiocarbon dating rules out this possibility.
He added: 'It is also highly unlikely that that another earlier royal was at some point put in this later tomb, which was made specifically for Queen Nefertari.
'In addition, the location of her tomb makes the likelihood of another royal or elite mummy being 'accidentally washed into the tomb' from an ancient flash flood extremely remote, if not impossible.'
Painted on the wall of Nefertari's tomb is a depiction of the board game 'senet', played by two players on a board of squares
A rock temple dedicated to Nefertari shows her as the same size as Ramesses II in order to demonstrate her status and importance
Sandals from tomb (pictured) are believed to be part of the original burial of Queen Nefetari
Professor Fletcher said: ‘This has been the most exciting project to be part of, and a great privilege to be working alongside with some of the world’s leading experts in this area.
‘Both [Dr Buckley] and myself have a long history studying Egypt’s royal mummies, and the evidence we’ve been able to gather about Nefertari’s remains not only complements the research we’ve been doing on the queen and her tomb but really does allow us to add another piece to the jigsaw of what is actually known about Egyptian mummification.’
Dr Buckley added: 'We can only assume that tomb robbers broke up her body as they looked for valuable gold and silver amulets within the wrappings of her mummified body.
'Why only the mummified knees survived and not the rest of her body remains a mystery.'
HOW DID THEY ANALYSE THE REMAINS?
In examining the mummified remains, the team carried out a number of tests.
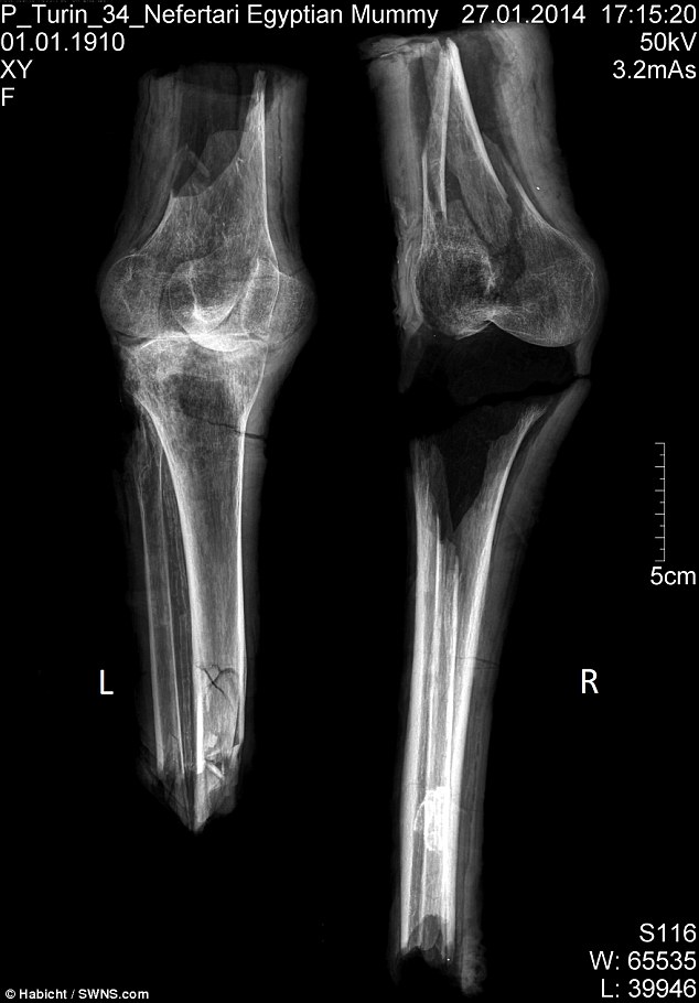
Firstly, they used X-rays to image the bones beneath the fragile wraps, confirming the samples as human knees.
They then compared structures with knee samples from ancient Italy and of modern Cape Coloured females.
Chemical analysis was used to look at the wraps and balm residues impregnating the cloth.
They found that animal fat made up a significant part of the balm, but lacked other components, which would date it to the period of the 19th dynasty (the time of Ramesses II).
DNA analysis was carried out on samples from the thigh bone. But the samples were too contaminated to offer any insight.
Finally, the team carried out radiocarbon dating of the legs, measuring the isotopes of carbon in the sample.
WHO WAS QUEEN NEFERTARI?
Egyptologists believe Nefertari was the favourite wife of Ramses II, who lavished her with a beautifully ornate tomb in the Valley of Queens after her death.
Her ancestry is unknown, but historians believe she was not of royal descent.
Evidence suggests that she would have been the around the same age as Ramses the great who lived from 1303 to 1213 BC.
She is thought to have been a royal wife for at least 25 years, giving birth to four sons.
During this time she played an important role in foreign affairs of the dynasty.
It is unclear how she died, but records indicate her health may have failed over a period, before she died around age 40 in 1255 BC.
Nefertari was the favourite wife of Ramesses II, who lavished her with a beautifully ornate tomb in the Valley of Queens after her death
WHO WAS RAMESSES II?
Evidence suggests that Nefertari would have been the same age as Ramses the Great (bust pictured) who lived from 1303 to 1213 BC
Ramesses II, was king of Egypt from 1279 to 1213 BC and is also known as Ramesses ‘the great’.
He ascended the throne as the third king of the Nineteenth Dynasty at the age of twenty-five.
It’s thought that during his 67 year reign, he built more temples and fathered more children than any other pharaoh.
He founded a new capital, Piramesse and built temples throughout Egypt and Nubia.
The most famous of these buildings is the Abu Simbel, cut into rock, and ‘the Ramesseum’ – his mortuary temple at Thebes.
The tomb of his principal wife, Nefertari, is one of the best preserved royal tombs and the resting place of some of his sons has recently been uncovered in the Valley of the Kings.
First found during excavations in the Valley of Queens more than a century ago, the mummified limbs have lain in a museum in Turin ever since.
Now, archaeologists analysing the 3,000-year-old remains believe they could belong to Queen Nefertari, a royal wife of Pharaoh Ramesses the Great...
Are these the legs of Queen Nefertari? Mystery mummified limbs may belong to the the wife of Ramesses the Great
The legs were found in Queen Nefertari's plundered tomb in 1904
Belong to a middle-aged woman who was 5 feet 5 inches (165 cm) tall
They lay in an Italian museum but their identity has never been confirmed
Queen Nefertari was the favoured wife of powerful ruler Ramesses II
She was an important figure in the 13th century BC, gave birth to four sons and played a key role in the dynasty's foreign affairs
By Ryan O'Hare for MailOnline
2 December 2016
A pair of dismembered legs uncovered in an Egyptian tomb are finally giving up their secrets.
First found during excavations in the Valley of Queens more than a century ago, the mummified limbs have lain in a museum in Turin ever since.
Now, archaeologists analysing the 3,000-year-old remains believe they could belong to Queen Nefertari, a royal wife of Pharaoh Ramesses the Great.
Archaeologists believe the 3,000-year-old mumified legs in an Italian museum (pictured) belong to Queen Nefertari, the favoured royal wife of powerful Pharaoh Ramesses the Great
In 1904, Italian archaeologists excavated the tomb of Queen Nefertari – thought to be the favourite wife of Ramesses II, the empire’s most powerful pharaoh – finding only remains left by looters.
Among the ruins of the plundered tomb, they recovered three sections of mummified legs which were thought to belong to Nerfertari.
But new analysis carried out by an international team, including researchers from the University of York, has used modern scientific techniques to confirm the identity of the legs.
The researchers found the legs belong to a middle-aged to older woman who was around 5 feet 5 inches tall and may have had arthritis.
They believe the person was between 40 and 60 when they died - the same age range as Nefertari.
The height is also consistent with the size of ancient sandals found in the tomb, thought to belong to Nefertari.
Writing in a paper published this week in the online journal PLOS One, they say: ‘the most likely scenario is that the mummified knees truly belong to Queen Nefertari’.
New analysis carried out on the remains by an international team, including researchers from the University of York, has used modern scientific techniques reveal the remains most likely belong to the beloved queen
Using chemical analysis, radiocarbon dating and DNA analysis, they conclude that the legs most likely belong to a woman who died at 40 years of age
Experts say that analysis of the ancient leg fragments reveals a woman above average height, most likely 165 cm (5 ft 5 in) tall, equal in height to most Egyptian and Greek men of the time
Using chemical analysis, radiocarbon dating and DNA analysis, they conclude that the legs most likely belong to a woman who died at around 40 years of age.
What’s more, they found that the balm used in the mummification process was consistent with that used during the reign of Ramesses.
Taken together, the evidence suggests the legs belong to Nefertari herself, rather than her daughters, who were buried in the tomb.
Historians hold Nefertari as the favourite wife of Ramses II, who lavished her with a beautifully ornate tomb in the Valley of Queens after her death.
Archaeologists believe she played an important role in foreign affairs of Ramses the great who lived from 1303 to 1213 BC.
While her ancestry is unknown, she is believed to have given birth to four sons and died some time after the age of 40.
The analysis of the mummified legs reveals a woman above average height, most likely 5 ft 5 in tall, equal in height to most Egyptian and Greek men of the time.
The researchers explain: ‘The materials used for embalming are consistent with Ramesside mummification traditions and indeed all objects within the tomb robustly support the burial as of Queen Nefertari.’
In 1904, Italian archaeologists excavated Nefertari's tomb in the Valley of the Queens – thought to be the favourite wife of Ramesses II, the empire’s most powerful pharaoh – finding only remains left by looters
Dr Stephen Buckley and Professor Joann Fletcher from the University of York’s Department of Archaeology were instrumental in the chemical analysis of the remains.
'We are reasonably confident given all the evidence,' Dr Buckley told MailOnline.
'Although a later intrusive burial was a serious consideration before our study, the radiocarbon dating rules out this possibility.
He added: 'It is also highly unlikely that that another earlier royal was at some point put in this later tomb, which was made specifically for Queen Nefertari.
'In addition, the location of her tomb makes the likelihood of another royal or elite mummy being 'accidentally washed into the tomb' from an ancient flash flood extremely remote, if not impossible.'
Painted on the wall of Nefertari's tomb is a depiction of the board game 'senet', played by two players on a board of squares
A rock temple dedicated to Nefertari shows her as the same size as Ramesses II in order to demonstrate her status and importance
Sandals from tomb (pictured) are believed to be part of the original burial of Queen Nefetari
Professor Fletcher said: ‘This has been the most exciting project to be part of, and a great privilege to be working alongside with some of the world’s leading experts in this area.
‘Both [Dr Buckley] and myself have a long history studying Egypt’s royal mummies, and the evidence we’ve been able to gather about Nefertari’s remains not only complements the research we’ve been doing on the queen and her tomb but really does allow us to add another piece to the jigsaw of what is actually known about Egyptian mummification.’
Dr Buckley added: 'We can only assume that tomb robbers broke up her body as they looked for valuable gold and silver amulets within the wrappings of her mummified body.
'Why only the mummified knees survived and not the rest of her body remains a mystery.'
HOW DID THEY ANALYSE THE REMAINS?
In examining the mummified remains, the team carried out a number of tests.
Firstly, they used X-rays to image the bones beneath the fragile wraps, confirming the samples as human knees.
They then compared structures with knee samples from ancient Italy and of modern Cape Coloured females.
Chemical analysis was used to look at the wraps and balm residues impregnating the cloth.
They found that animal fat made up a significant part of the balm, but lacked other components, which would date it to the period of the 19th dynasty (the time of Ramesses II).
DNA analysis was carried out on samples from the thigh bone. But the samples were too contaminated to offer any insight.
Finally, the team carried out radiocarbon dating of the legs, measuring the isotopes of carbon in the sample.
WHO WAS QUEEN NEFERTARI?
Egyptologists believe Nefertari was the favourite wife of Ramses II, who lavished her with a beautifully ornate tomb in the Valley of Queens after her death.
Her ancestry is unknown, but historians believe she was not of royal descent.
Evidence suggests that she would have been the around the same age as Ramses the great who lived from 1303 to 1213 BC.
She is thought to have been a royal wife for at least 25 years, giving birth to four sons.
During this time she played an important role in foreign affairs of the dynasty.
It is unclear how she died, but records indicate her health may have failed over a period, before she died around age 40 in 1255 BC.
WHO WAS RAMESSES II?
Evidence suggests that Nefertari would have been the same age as Ramses the Great (bust pictured) who lived from 1303 to 1213 BC
Ramesses II, was king of Egypt from 1279 to 1213 BC and is also known as Ramesses ‘the great’.
He ascended the throne as the third king of the Nineteenth Dynasty at the age of twenty-five.
It’s thought that during his 67 year reign, he built more temples and fathered more children than any other pharaoh.
He founded a new capital, Piramesse and built temples throughout Egypt and Nubia.
The most famous of these buildings is the Abu Simbel, cut into rock, and ‘the Ramesseum’ – his mortuary temple at Thebes.
The tomb of his principal wife, Nefertari, is one of the best preserved royal tombs and the resting place of some of his sons has recently been uncovered in the Valley of the Kings.
Last edited: